Scientists Say: Amygdala

This part of the brain helps us process emotions and form memories

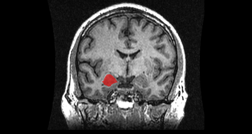
amygdala

This is a slice of brain seen through a scan that looked through a person’s face and into their head. The right amygdala is highlighted in red.

Amber Rieder, Jenna Traynor, Geoffrey B Hall/Wikimedia Commons (CC0 1.0)

Amygdala (noun, “ah-MIG-dah-la”, plural “amygdalae”)

This part of the brain plays a role in memory, decision making and emotions, such as fear. Each person has an amygdala on either side of their head. They are located near the center of the brain a little above the ears. The amygdala gets its name from the Greek word “amygdalo.” It means “almond.” Each amygdala is shaped a little like the tasty nut.

In a sentence

Kids with attention-deficit hyperactivity disorder (ADHD) may have smaller amygdalae than people without ADHD.

Follow Eureka! Lab on Twitter

Bethany Brookshire was a longtime staff writer at Science News Explores and is the author of the book Pests: How Humans Create Animal Villains. She has a Ph.D. in physiology and pharmacology and likes to write about neuroscience, biology, climate and more. She thinks Porgs are an invasive species.